Astăzi, implanturile dentare sunt soluția de elecție în refacerea dinților lipsă și sunt mai comune ca oricând. În trecut, eșecurile postoperatorii erau destul de frecvente. Acum, durata de viață tipică a unui implant este de aproximativ 15 ani sau mai mult. În jur de peste 98% dintre implanturile inserate pacienților noștri sunt perfect acceptate de organismul acestora.
Implanturile dentare sunt un subiect foarte important în stomatologie. În ultimii anii, din cauza cererii tot mai mari de implanturi dentare, implantologia a cunoscut o dezvoltare spectaculoasă, iar tehnologia continuă să se îmbunătățească.
Industria s-a concentrat, de asemenea, pe reducerea timpului de tratament, iar unele implanturi pot fi plasate imediat după extracția dinților, spre deosebire de așteptarea la șase luni după extracție.
În continuare vom încerca să oferim cât mai multe informații utile nu doar pacienților care intenționează să aibă implanturi dentare, ci oricui caută să afle despre acest subiect.
Implantul dentar este o rădăcină dentară artificială din metal (Titan pur) introdusă în osul maxilar sau mandibular pentru a susține o coroană, punte sau proteză dentară, în vederea înlocuirii unuia sau a mai multor dinți lipsă.
Este soluția stomatologică optimă și minim invazivă în refacerea edentației (lipsei unui dinte natural) și este de mai multe tipuri și forme, cel mai frecvent folosit fiind implantul dentar endo-osos sub formă de șurub.
Pe lângă durabilitatea implantului, principalul avantaj este conservarea dinților vecini edentației prin lipsa șlefuirii acestora, aceștia rămânând intacți, deci păstrează și durabilitatea dinților vecini. În cazul lucrărilor protetice de tip punți dentare pe dinții vecini, durata de viață a acestora e de 8-10 ani, după care trebuie înlocuite. De fiecare dată când se înlocuiesc, se șlefuiesc din ce în ce mai mult dinții vecini edentației și asta duce la o slăbire a acestora în timp.
Al doilea avantaj este ușurința cu care se adaptează pacientul la implanturi si la coronițele sau lucrările dentare de pe acestea. Masticația este cel mai important proces dentar. Atunci când este proiectată o restaurare dentară, este important să o facem cât mai aproape de dinții naturali. Când acest obiectiv este atins, pacienții se vor adapta foarte repede la noua restaurare.
Un alt avantaj la fel de important este faptul că, odată refăcută funcționalitatea zonei prin facilitarea masticației, retracția sau atrofierea osului dispare, osul păstrându-și înălțimea și grosimea în timp.
Umplerea spațiilor edentate duce la dispariția riscului migrației dinților vecini către spațiile respective, lucru care se întâmplă încet-încet atunci când avem dinți lipsă timp de mai mulți ani.
După pierderea unuia sau a mai multor incisivi, pacientul întotdeauna efectuează cu dificultate pronunția anumitor consoane ("s", "t") și rămâne cu această sâsâială până ce acei dinți vor fi refăcuți. Cu implanturi dentare, vorbirea se reface exact ca înainte și sâsâiala dispare.
Igiena dentară se efectuează exact ca la dinții naturali folosind periuța dentară, pastă de dinți, ață dentară și apă de gură, spre deosebire de protezele mobile care trebuie îndepărtate și igienizate separat.
Implanturile dentare sunt mai solide, mai stabile și mai estetice decât protezele mobile sau orice altă soluție pentru protezarea spațiilor edentate din cavitatea bucală.
Odată acceptate de organism, implanturile au o viață mult mai lungă decât orice alte metode de restaurare protetică, așa că sunt o investiție foarte bună în viitor. În plus, au o rată de succes foarte ridicată, de peste 98%.
Dacă implanturile înlocuiesc dinții pierduți înseamnă că, pentru a primi unul sau mai multe implanturi dentare, criteriul principal ce trebuie îndeplinit este cel al lipsei unuia sau a mai multor dinți.
Candidații ideali pentru implanturi dentare sunt pacienții sănătoși, lipsiți de suferințe cronice, cu o stare generală bună dar și o igienă bucală bună.
E nevoie de o formă și densitate osoasă adecvată pentru susținerea implantului, așa că cei mai potriviți pacienți sunt cei cu gingii sănătoase lipsite de boală parodontală. Uneori, pentru a stabili exact calitatea și cantitatea osului este recomandată efectuarea unei analize tomografice preoperatorie (CT).
Există contraindicații absolute, cum ar fi pacienții cu boli de inimă, cancere active, hepatită, bruxism (diurn sau nocturn), dar și contraindicații relative cum sunt diabetul zaharat compensat, unde cu medicație potrivită pacientul își poate ține sub control glicemia și devine un pacient apt pentru a primi un implant sau fumătorii care pot renunța la fumat și astfel vor scădea considerabil riscurile unui eventual eșec al tratamentului.
De asemenea, pacienții care au efectuat recent tratamente cu radioterapie sau tratamente pentru osteoporoză au contraindicație.
Alte contraindicații relative mai sunt: sarcina, dependența de alcool sau droguri, boli psihice sau autoimune.
Medicul stomatolog / implantolog este cel care, după consultația clinică si radiologică, vă va răspunde cu siguranță la această întrebare.
Numărul implanturilor dentare necesare refacerii edentatiei este stabilit întotdeauna de către medicul dentist după consultație. Ideal, numărul implanturilor trebuie să fie egal cu cel al dinților pierduți, dar de cele mai multe ori osul insuficient sau migrația dinților vecini nu permit inserția tuturor implanturilor necesare.
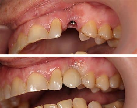
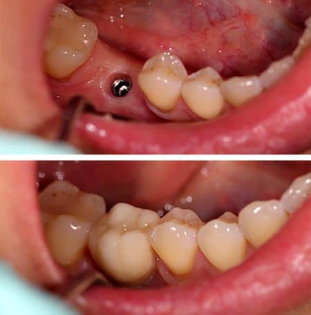
În cazul unui singur dinte lipsă, inserția unui singur implant cu o coroană protetică dentară cimentată pe acesta este soluția cea mai bună cu un prognostic foarte bun. Atunci când vorbim despre lipsa unui dinte frontal, se poate confecționa o lucrare protetică provizorie fixă, direct cimentată pe implant sau una mobilizabilă ce doar va acoperi (masca) zona implantului până ce osul din jurul acestuia își va încheia vindecarea și se va putea confecționa lucrarea definitivă.
În cazul mai multor dinți lipsă sau al unei edentații extinse (latero-laterală, frontală sau chiar totală), de obicei se inseră mai puține implanturi decât numărul dinților lipsă, soluțiile de protezare fiind ori cele cu punți dentare pe implanturi, protezele înșurubate pe implanturi (supraprotezare; all-on-4 sau all-on-6) ori protezele mobilizabile prinse în capse peste implanturi.
Întotdeauna încercăm să ne ferim de varianta de protezare mixtă prin care să confecționăm punți dentare între implanturi și dinți naturali, aceasta ducând în timp la pierderea implanturilor din cauza mobilității fiziologice a dinților naturali.
Prin manopere chirurgicale specifice, se creează o neoalveolă în os de dimensiunea viitorului implant, calculată în prealabil în funcție de lățimea și înălțimea osului în locul insertiei, în care se înșurubează implantul dentar, se înșurubează un căpăcel deasupra implantului și apoi mucoasa gingivală se suturează peste acest căpăcel de vindecare. Toată procedura se efectuează cu anestezie locală, așa că nu trebuie să vă așteptați deloc la dureri intraoperatorii. Comunicarea medic-pacient e continuă, așa că la orice simptom dureros pacientul îi va semnala medicului, medicul se va opri și va reevalua situația și cauza acelei dureri.
Toată procedura de pregătire, preparație a locului de inserție (neoalveolei), inserția propriu-zisă a implantului și sutura durează între 15 și 30 de minute pentru un implant dentar.
Durerile postoperatorii sunt minime, datorită faptului că nu avem o infecție preexistentă cum se întamplă frecvent în cazul extracțiilor sau al rezecțiilor apicale. Riscul de inflamație si edem al zonei este de asemenea, minim.
După o săptămână pacientul revine la consult pentru a scoate firele și a consulta plaga gingivală. Urmează o perioadă de osteointegrare și acceptare a implantului de către organism (osul crește în jurul implantului).
Perioada de recuperare este hotărâtă în functie de caz. Protezarea implanturilor poate fi imediată (câteva zile) sau târzie (câteva luni).
Cel mai des folosită și cea mai sigură este varianta de protezare târzie, după un interval de 2-6 luni, timp în care puteți purta o lucrare protetică provizorie. Protezarea imediată se face în cazuri speciale, deoarece riscul de respingere al implantului proaspăt inserat este mai mare.
Riscul de a respinge un implant dentar există întotdeauna, respingerea însă se întâmplă foarte rar și la un procent extrem de mic de pacienți.
De cele mai multe ori, el este asociat cu boli generale ce contraindică manoperele chirurgicale în general, care au fost menționate mai sus. De exemplu, fumatul crește riscul de respingere al implanturilor dentare, însă e direct proporțional cu numărul de țigări fumate pe zi, și numărul de ani de când pacientul este fumător.
Ce este important de știut este faptul că, dacă ne aflăm în cei 1% unde implantul nu este acceptat de către organism, asta nu înseamnă obligatoriu o reacție violentă din partea acestuia, ci doar a retragere a osului din jurul implantului, de multe ori asimptomatică, urmând ca acesta să fie împins ușor-ușor către exterior până este eliminat.
Dacă există, e minim. Întotdeauna operația de inserție cât și refacerea postoperatorie se fac sub protecție de antibiotice.
Pentru a afla mai multe restricții postoperatorii, puteți consulta pagina de Indicații postoperatorii - Implant dentar.
Prețul implanturilor variază de la producător la producător, însă în ultimii ani a devenit din ce în ce mai accesibil. Există mulți producători pe piață care oferă implanturi de forme diferite, cu diferite tipuri de sisteme protetice, majoritatea oferă garanție pe viață la durabilitatea implantului, însă mai important decât prețul efectiv al acestora este ca medicul să aibă o experiență destul de bună cu acel tip de implant.
Pentru a afla prețul unui implant dentar în cadrul clinicii noastre consultați pagina cu Lista de Prețuri la secțiunea Chirurgie.
Pentru a vedea mai multe dintre cazurile noastre vizitați pagina de Cazuri Clinice.
Vă așteptăm în clinica noastră pentru mai multe informații si o consultație efectuată de către un medic stomatolog specialist implantolog.
Actualizat: 19 August 2022

După inserția unor implanturi dentare, contrar așteptărilor pacienților, durerile postoperatorii sunt mai mici decât după extracția dentară. Edemul zonei este normal și de așteptat. Medicația recomandată de noi este obligatorie bazată pe antibiotice 8-10 zile, indiferent de simptome. Pentru a reduce simptomele dureroase post-operaționale recomandăm antiinflamatoare.

În ultimii ani, protetica dentară s-a îmbunătățit foarte mult. Au apărut noi materiale dentare ce au revoluționat stomatologia. Unul din acestea este Zirconiul. Oxidul de Zirconiu este cel mai rezistent tip de material dentar disponibil pe piață. Este de 5 ori mai rezistent decât porțelanul din lucrările metalo-ceramice clasice.

Fațetele dentare sunt folosite în cosmetica dentară, fiind soluția cea mai conservatoare (minim-invazivă) în corectarea problemelor inestetice ale dinților frontali. O fațetă este o foiță fină de ceramică sau oxid de Zirconiu confecționată în laborator prin tehnologia CAD-CAM System, ce se aplică pe suprafața vestibulară (exterioară) a dintelui prin cimentare.

Albirea dentară profesională, contrar zvonurilor, nu afectează cu nimic sănătatea dinților. Ea penetrează smalțul doar pe o adâncime de câteva zeci de microni, scoțând din acesta elementele ce îi dau culoarea gălbuie, remineralizând mai apoi smalțul în noua culoare. Diferența între albirea efectuată în cabinet și cea efectuată acasă este timpul mult mai scurt al celei din cabinet (o singură ședință de o oră).

În cazul primului contact cu o proteză dentară mobilizabilă este indicat în general a se purta cât mai mult timp până la următoarea programare. Este normal ca proteza să jeneze inițial și să apese anumite zone, unde pot apărea ulcerații (leziuni de decubit). Aceste zone incomode ale protezei vor dispărea prin adaptarea ei de către medicul dentist la următoarea programare.