ultra-moderne, complet utilate cu piese de mână silențioase.
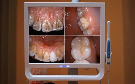
pentru o vizualizare detaliată și un diagnostic corect.
de elecție în implantologia dentară.
complete, utilizate în implantologia dentară.
pentru o albire dentară cât mai eficientă.
pentru o sterilizare superioară oricărui alt aparat (prioni).
Aer condiționat cu funcție de ionizare a aerului.
Wi-Fi gratuit.
Sistem de supraveghere inclusiv sala de așteptare.
POS bancar.