Cazuri Clinice • Stomatologie

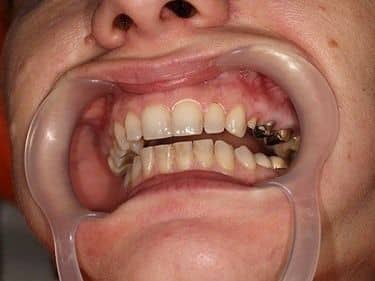
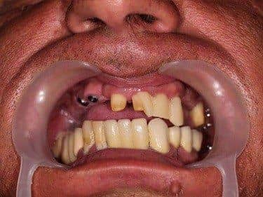
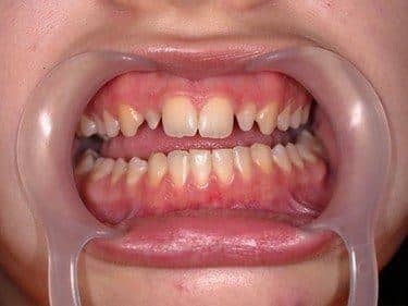
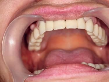
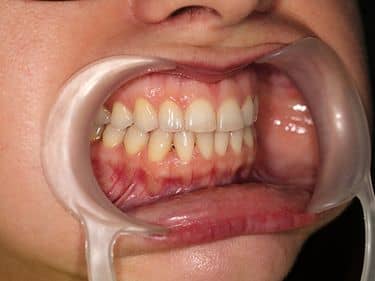
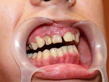
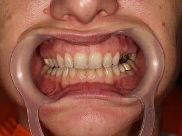
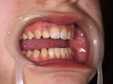
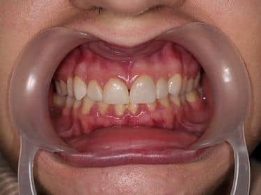
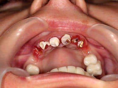
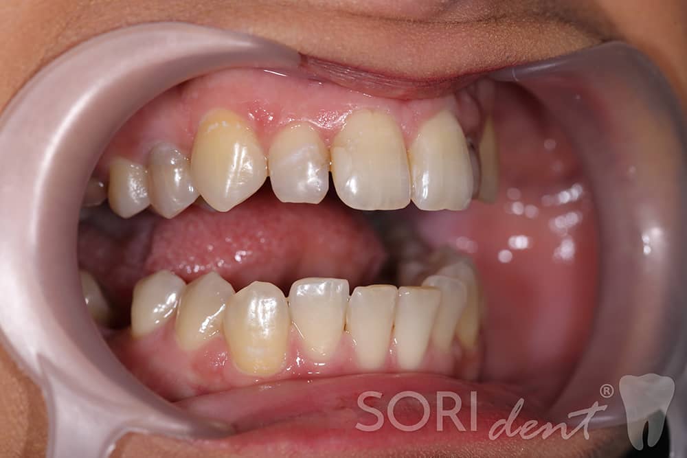
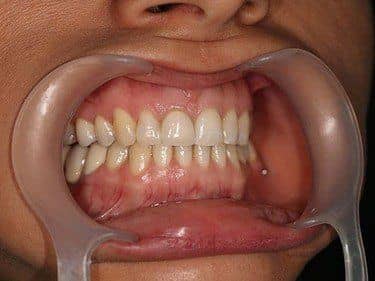
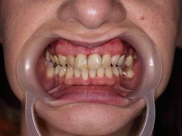
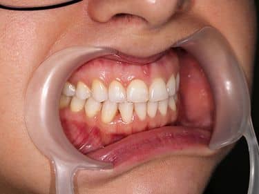
Coroane Dentare din Ceramică pe oxid de Zirconiu • Înainte și După Tratament

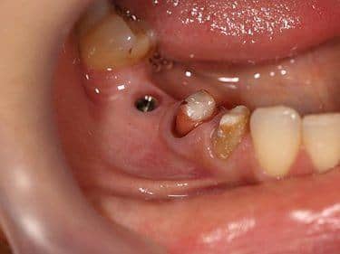
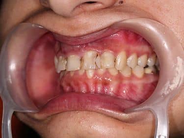
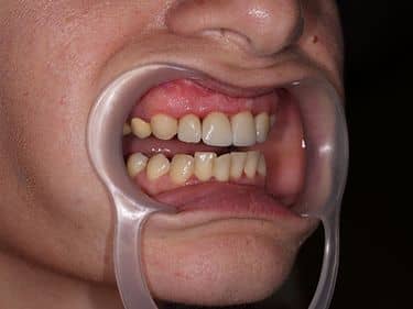
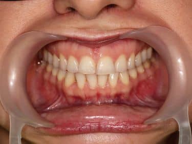
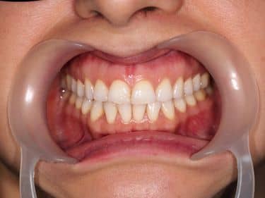
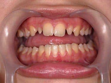
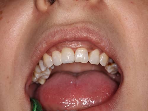
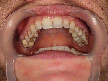
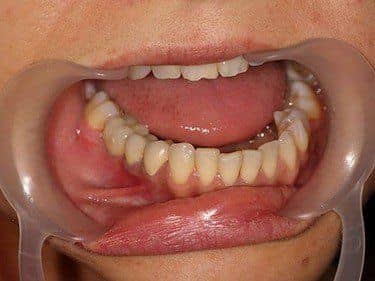
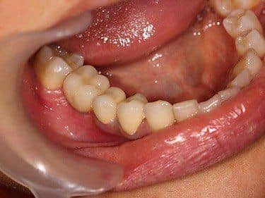
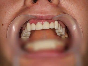
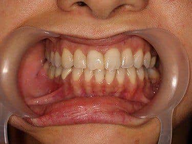
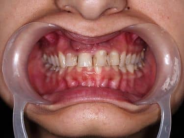
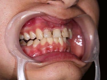
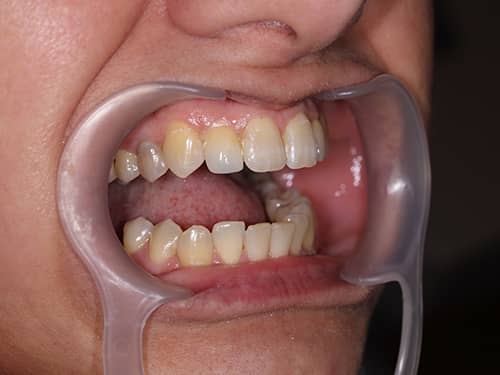
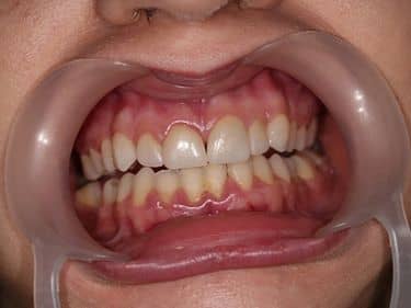
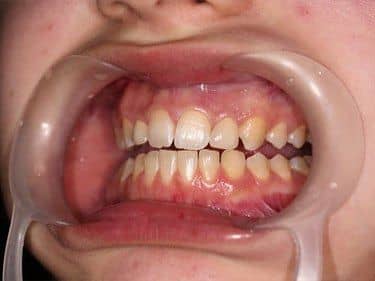
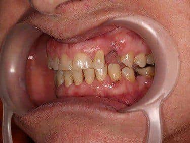
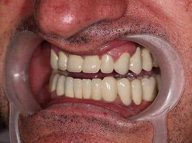
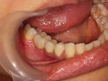
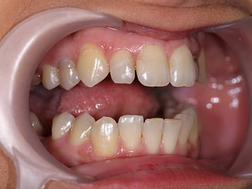
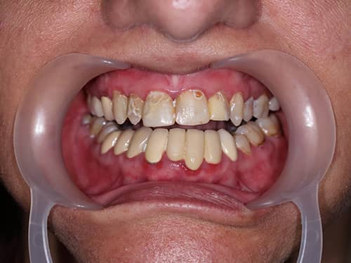
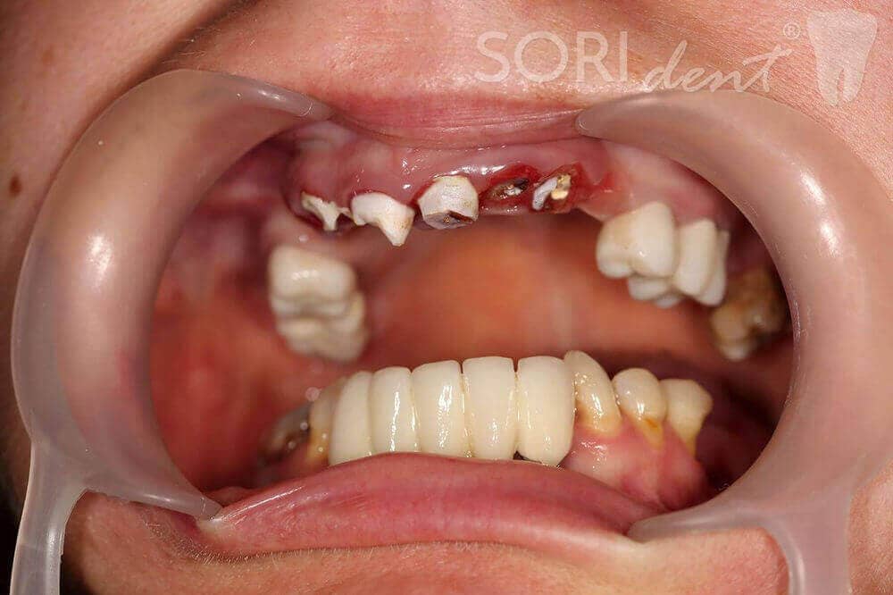
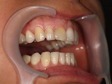
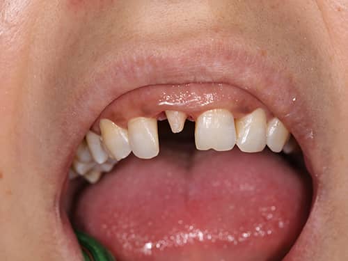
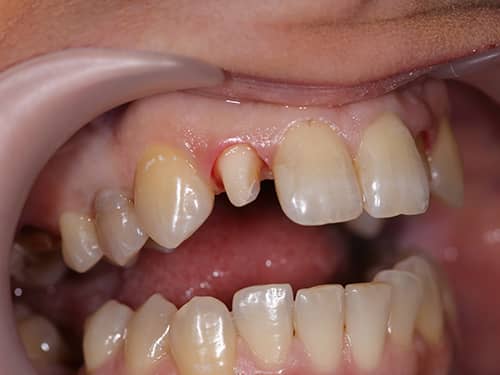
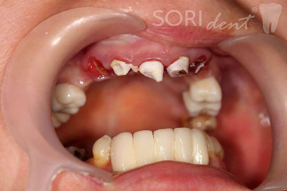
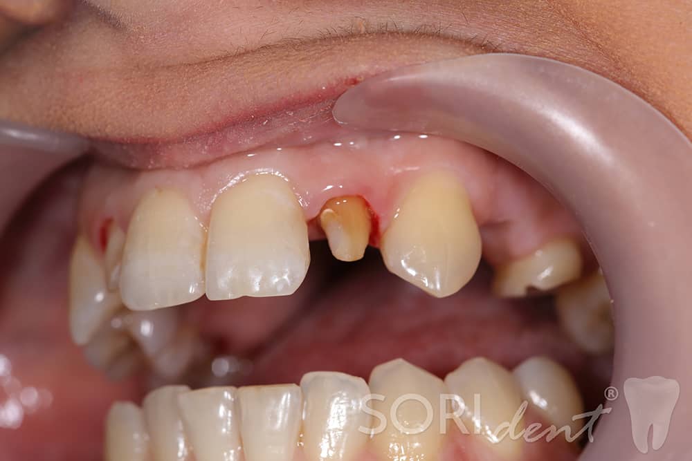
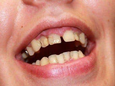
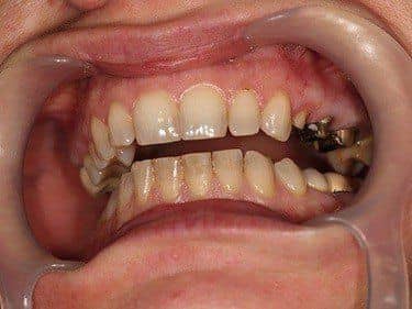
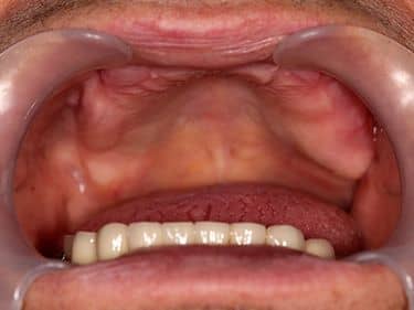
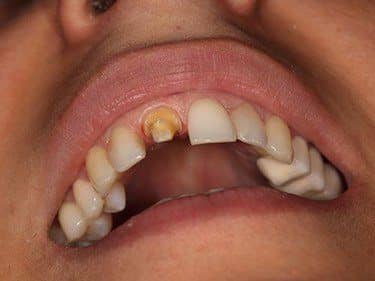
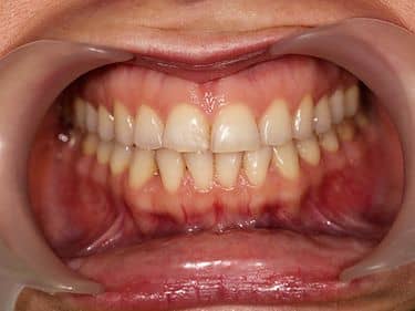
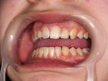
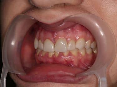
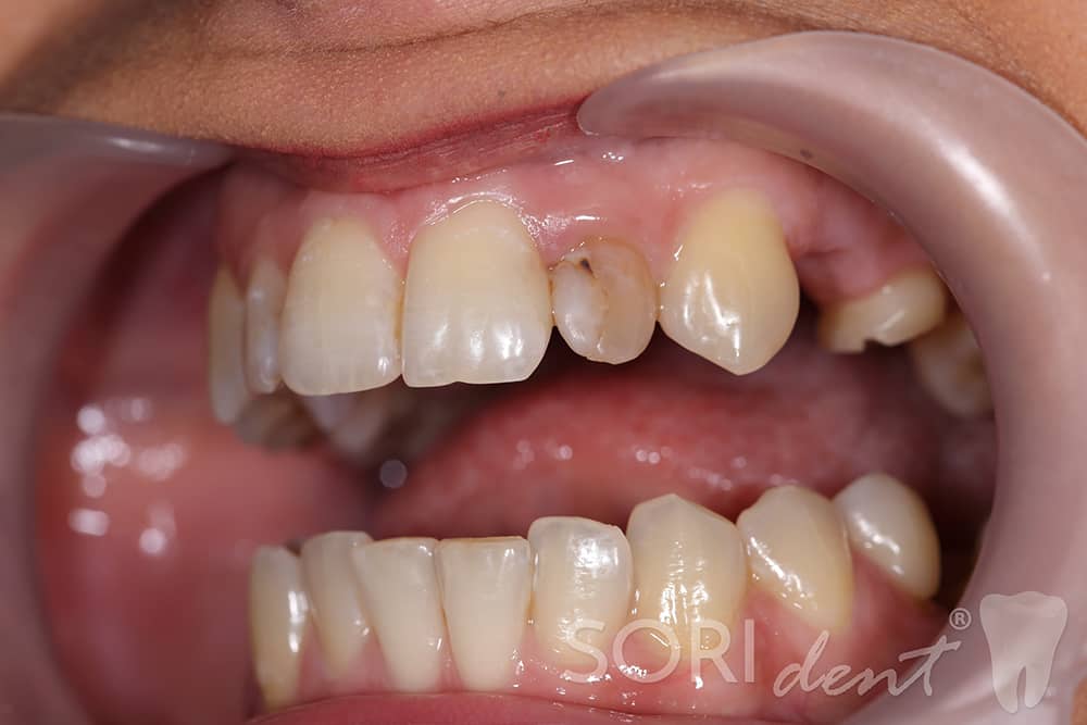
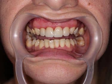
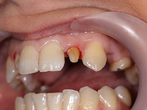
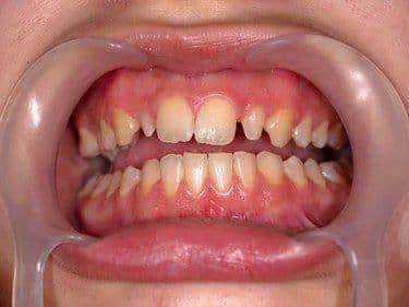
Amelogenesis Imperfecta - Coroane Dentare din Ceramică pe oxid de Zirconiu - Înainte și după tratamentul stomatologic

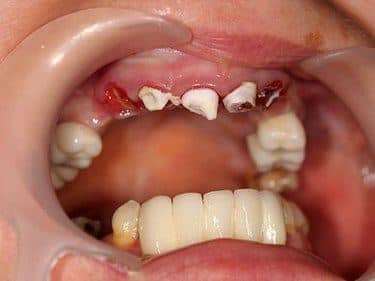
Pacient cu amelogenesis imperfecta - Reabilitare orală completă cu păstrarea majorității dinților naturali - devitalizarea tuturor dinților, inserția de pivoți din fibră de sticlă peste care s-au aplicat coroane dentare protetice din Zirconiu

zâmbet inestetic - amelogenesis imperfecta Zâmbet inestetic - amelogenesis imperfecta Dinți cariați - amelogenesis imperfecta Dinți cariați - amelogenesis imperfecta Dinți cariați - amelogenesis imperfecta Dinți cariați - amelogenesis imperfecta Dinți cariați - amelogenesis imperfecta Dinți cariați - amelogenesis imperfecta Coroane Dentare din Ceramică pe oxid de Zirconiu Coroane Dentare din Ceramică pe oxid de Zirconiu Coroane Dentare din Ceramică pe oxid de Zirconiu Coroane Dentare din Ceramică pe oxid de Zirconiu Coroane Dentare din Ceramică pe oxid de Zirconiu Coroane Dentare din Ceramică pe oxid de Zirconiu Coroane Dentare din Ceramică pe oxid de Zirconiu Coroane Dentare din Ceramică pe oxid de Zirconiu Coroane Dentare din Ceramică pe oxid de Zirconiu Coroane Dentare din Ceramică pe oxid de Zirconiu Coroane Dentare din Ceramică pe oxid de Zirconiu Coroane Dentare din Ceramică pe oxid de Zirconiu Coroane Dentare din Ceramică pe oxid de Zirconiu Coroane Dentare din Ceramică pe oxid de Zirconiu Coroane Dentare din Ceramică pe oxid de Zirconiu Coroane Dentare din Ceramică pe oxid de Zirconiu Coroane Dentare din Ceramică pe oxid de Zirconiu Coroane Dentare din Ceramică pe oxid de Zirconiu


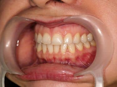
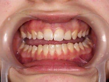
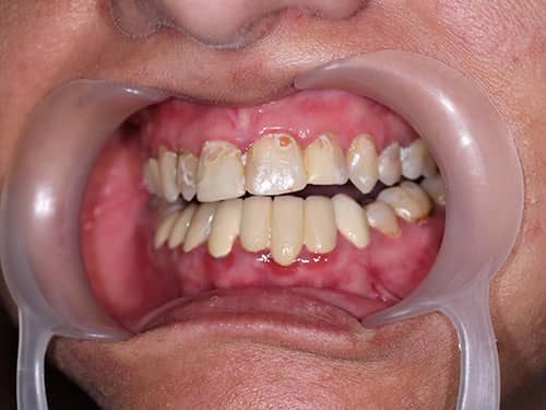
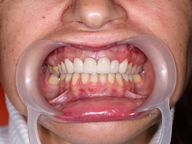
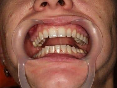
Coroane Dentare din Ceramică pe Zirconiu • Înainte și După Tratament

Coroane Dentare din Ceramică pe oxid de Zirconiu - Înainte și după tratamentul stomatologic

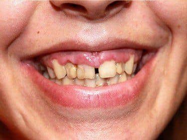
Dinți cariați - Refacerea esteticii și a zâmbetului prin șlefuirea dinților și acoperirea acestora cu coronițe dentare din ceramică pe oxid de Zirconiu

zâmbet inestetic Zâmbet inestetic Dinți cariați Dinți cariați Dinți cariați Dinți cariați Coroane Dentare din Ceramică pe oxid de Zirconiu Coroane Dentare din Ceramică pe oxid de Zirconiu Coroane Dentare din Ceramică pe oxid de Zirconiu Coroane Dentare din Ceramică pe oxid de Zirconiu Coroane Dentare din Ceramică pe oxid de Zirconiu Coroane Dentare din Ceramică pe oxid de Zirconiu Coroane Dentare din Ceramică pe oxid de Zirconiu Coroane Dentare din Ceramică pe oxid de Zirconiu Coroane Dentare din Ceramică pe oxid de Zirconiu Coroane Dentare din Ceramică pe oxid de Zirconiu


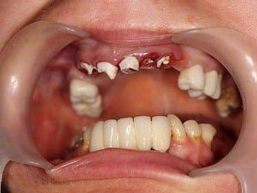
Lucrări din porțelan pe Implanturi Dentare • Înainte și După Tratament

Lucrări din porțelan pe Implanturi Dentare - Înainte și După Tratament

Lucrări vechi inestetice, sparte și disfuncționale - Refacerea zâmbetului, a foneticii și a esteticii cu ajutorul implanturilor dentare și a două punți dentare metalo-ceramice peste implanturi

zâmbet inestetic Zâmbet inestetic Zâmbet inestetic Lucrări din porțelan pe Implanturi Dentare Lucrări din porțelan pe Implanturi Dentare Lucrări din porțelan pe Implanturi Dentare Lucrări din porțelan pe Implanturi Dentare


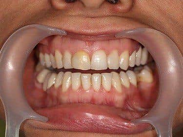
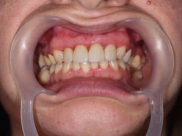
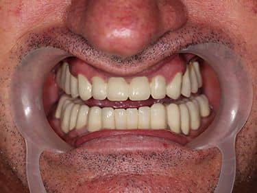
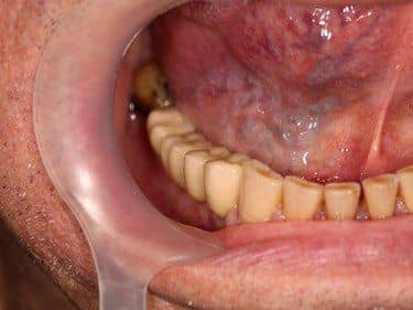
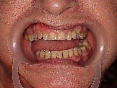
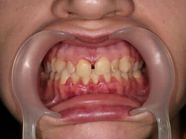
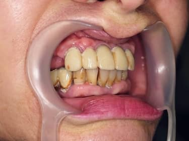
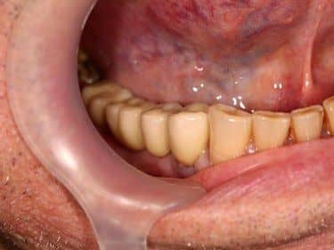
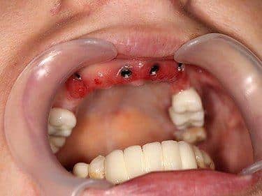
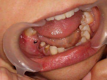
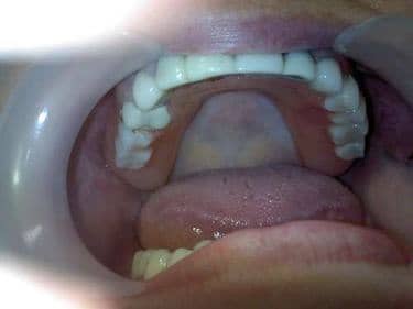
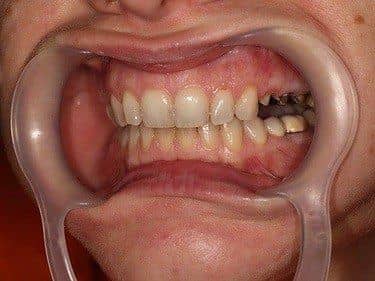
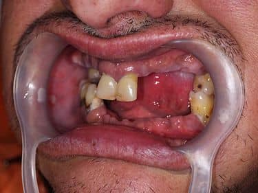
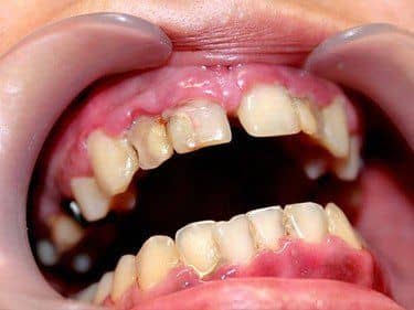
Coroane Dentare din Zirconiu • Înainte și După Tratament

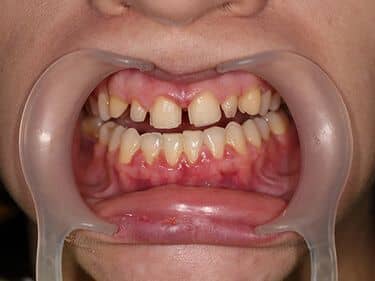
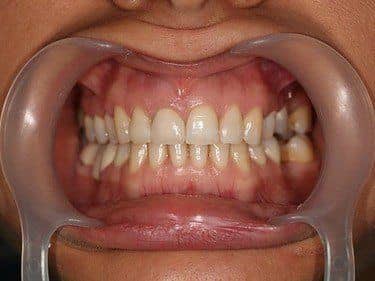
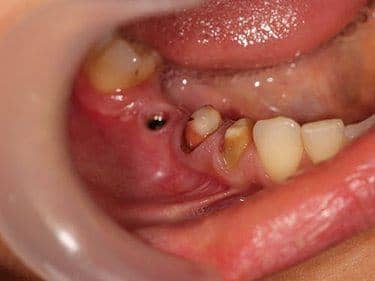
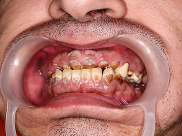
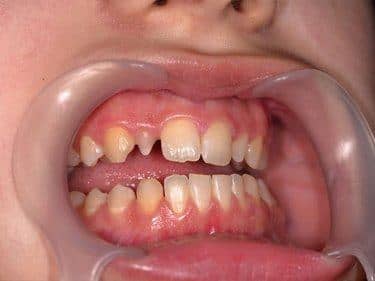
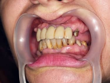
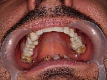
Amelogenesis imperfecta - Coroane Dentare din Zirconiu - Înainte și după tratamentul stomatologic

Pacient cu amelogeneză imperfecta - Reabilitare orală completă cu pivoți din Zirconiu peste care s-au aplicat lucrări dentare din Zirconiu

Amelogenesis imperfecta Amelogeneza imperfecta Dentinogeneza imperfecta Amelogeneza imperfecta Coroane din zirconiu Coroane din zirconiu Coroane din zirconiu lucrari dentare din zirconiu pe model de lucru


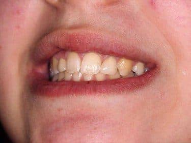
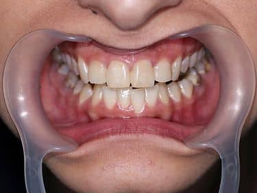
Fațete Dentare ceramice e-Max • Înainte și După Tratament

Fațete Dentare ceramice e-Max - Înainte și după tratamentul stomatologic

Dinți frontali închiși la culoare, cu obturații coronare vechi inestetice, ușor malpoziționați - Refacerea zâmbetului și a esteticii prin fațetarea tuturor celor 6 dinți frontali superiori

zâmbet inestetic Zâmbet inestetic Zâmbet inestetic Zâmbet inestetic Zâmbet inestetic Dinți frontali închiși la culoare Dinți frontali închiși la culoare Dinți frontali închiși la culoare Dinți frontali închiși la culoare Dinți frontali închiși la culoare Fațete Dentare ceramice e-Max Fațete Dentare ceramice e-Max Fațete Dentare ceramice e-Max Fațete Dentare ceramice e-Max Fațete Dentare ceramice e-Max Fațete Dentare ceramice e-Max Fațete Dentare ceramice e-Max Fațete Dentare ceramice e-Max Fațete Dentare ceramice e-Max Fațete Dentare ceramice e-Max Fațete Dentare ceramice e-Max Fațete Dentare ceramice e-Max Fațete Dentare ceramice e-Max Fațete Dentare ceramice e-Max Fațete Dentare ceramice e-Max Fațete Dentare ceramice e-Max Fațete Dentare ceramice e-Max Fațete Dentare ceramice e-Max


Coroane și Punți Dentare full-Zirconia • Înainte și După Tratament

Coroane și Punți Dentare full-Zirconia - Înainte și după tratamentul stomatologic

Edentații multiple, lucrări protetice dentare vechi și inestetice - Refacerea funcției masticatorii, a zâmbetului și esteticii frontale, a înălțimii etajului inferior al feței prin ablația lucrărilor vechi, înlocuirea acestora, protezarea spatiilor edentate și a dinților ramași cu punți și coroane dentare full-Zirconia

Surâs neplăcut Surâs neplăcut Surâs neplăcut Lucrări protetice dentare vechi și inestetice Lucrări protetice dentare vechi și inestetice Lucrări protetice dentare vechi și inestetice Edentații multiple Edentații multiple Edentații multiple Dificultăți în masticație și estetică dentară Dificultăți în masticație și estetică dentară Dificultăți în masticație și estetică dentară Coroane și Punți Dentare full-Zirconia Coroane și Punți Dentare full-Zirconia Coroane și Punți Dentare full-Zirconia Coroane și Punți Dentare full-Zirconia Coroane și Punți Dentare full-Zirconia Coroane și Punți Dentare full-Zirconia Coroane și Punți Dentare full-Zirconia Coroane și Punți Dentare full-Zirconia Coroane și Punți Dentare full-Zirconia Coroane și Punți Dentare full-Zirconia Surâs plăcut Surâs plăcut Surâs plăcut Armonia feței refacută Armonia feței refacută Armonia feței refacută


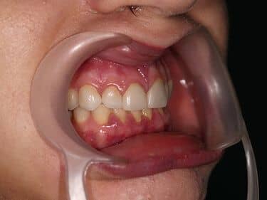
Fațete Dentare și Coroane Integral Ceramice e-max • Înainte și După Tratament

Fațete Dentare și Coroane Integral Ceramice e-max - Înainte și după tratamentul stomatologic

Dinți frontali închiși la culoare, ușor malpoziționați, cu obturații coronare vechi inestetice - Refacerea esteticii și a zâmbetului prin șlefuirea dinților frontali și acoperirea acestora cu fațete dentare ceramice (dinții vitali) și coroane integral ceramice tip E-Max (cei devitalizați)

zâmbet inestetic Zâmbet inestetic Dinți frontali închiși la culoare Dinți frontali închiși la culoare Dinți frontali închiși la culoare Dinți frontali închiși la culoare Fațete dentare și coroane integral ceramice e-max Fațete dentare și coroane integral ceramice e-max Fațete dentare și coroane integral ceramice e-max Fațete dentare și coroane integral ceramice e-max Fațete dentare și coroane integral ceramice e-max Fațete dentare și coroane integral ceramice e-max Fațete dentare și coroane integral ceramice e-max Fațete dentare și coroane integral ceramice e-max Fațete dentare și coroane integral ceramice e-max Fațete dentare și coroane integral ceramice e-max Fațete dentare și coroane integral ceramice e-max Fațete dentare și coroane integral ceramice e-max


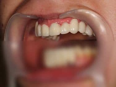
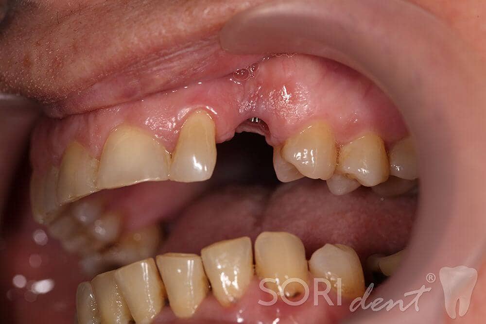
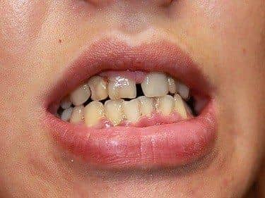
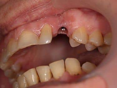
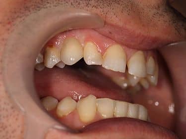
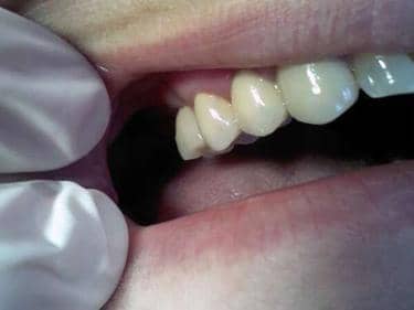
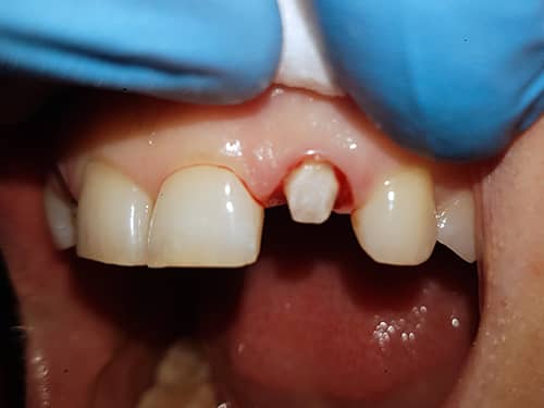
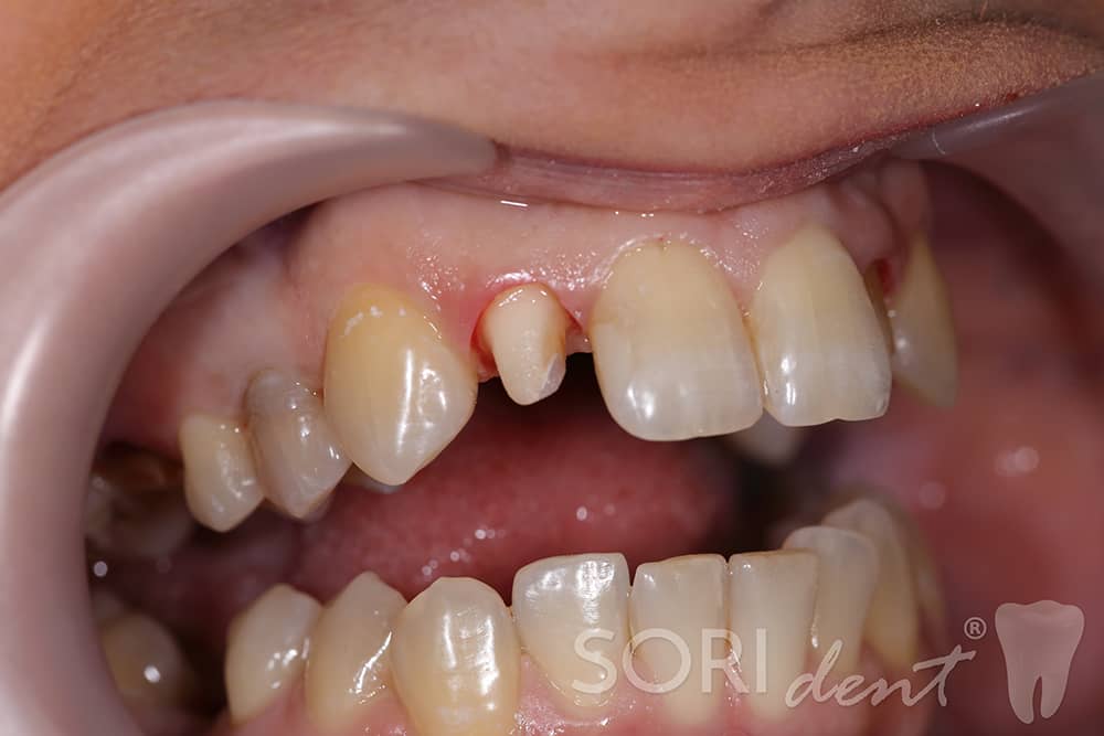
Coroană Dentară e-Max Integral Ceramică pe Dinte Frontal (Incisiv Central Superior) • Înainte și După Tratament


Coroană Dentară e-Max Integral Ceramică pe Dinte Frontal (Incisiv Central Superior) • Înainte și După Tratament

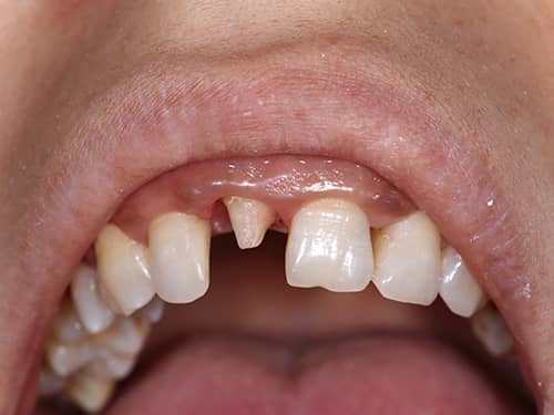
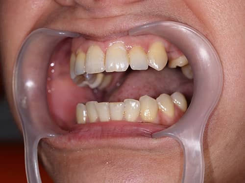
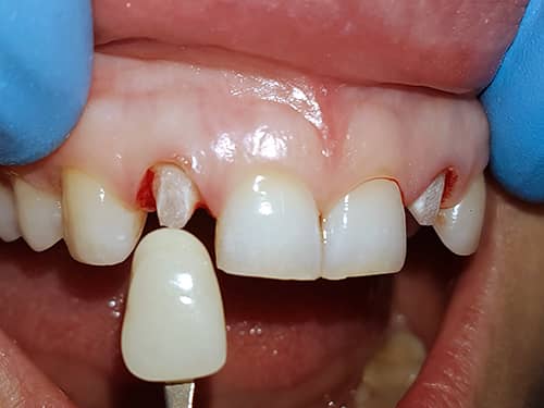
Dinte frontal cu discromie (culoare mai închisă decât a dinților vecini) - Incisivul a fost devitalizat și preparat pentru a fi acoperit cu o coroană protetică integral ceramică de tip e-Max (frezare computerizată CAD-CAM)

Dinte frontal preparat sub formă de bont pentru a fi acoperit cu o coroniță protetică Dinte frontal preparat sub formă de bont pentru a fi acoperit cu o coroniță protetică Dinte frontal preparat sub formă de bont pentru a fi acoperit cu o coroniță protetică Dinte frontal preparat sub formă de bont pentru a fi acoperit cu o coroniță protetică Dinte frontal preparat sub formă de bont pentru a fi acoperit cu o coroniță protetică Dinte frontal preparat sub formă de bont pentru a fi acoperit cu o coroniță protetică Dinte frontal preparat sub formă de bont pentru a fi acoperit cu o coroniță protetică Dinte frontal preparat sub formă de bont pentru a fi acoperit cu o coroniță protetică Coroană dentară protetică integral ceramica e-Max pe incisivul central superior Coroană dentară protetică integral ceramica e-Max pe incisivul central superior Coroană dentară protetică integral ceramica e-Max pe incisivul central superior


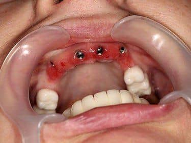
Lucrări din Full-Zirconia (oxid de Zirconiu) pe dinți naturali și Implanturi Dentare • Înainte și După Tratament

Lucrări din Full-Zirconia (oxid de Zirconiu) pe Implanturi Dentare - Înainte și După Tratament

Lucrări vechi inestetice, sparte și disfuncționale - Refacerea zâmbetului, a foneticii, a esteticii și a masticației cu ajutorul implanturilor dentare și a două punți dentare din oxid de Zirconiu (full-Zirconia) peste implanturi

Lucrări dentare vechi sparte și inestetice Lucrări dentare vechi sparte și inestetice Lucrări dentare vechi sparte și inestetice Lucrări dentare vechi sparte și inestetice Lucrări din Full-Zirconia (oxid de Zirconiu) pe Implanturi Dentare Lucrări din Full-Zirconia (oxid de Zirconiu) pe Implanturi Dentare Lucrări din Full-Zirconia (oxid de Zirconiu) pe Implanturi Dentare Lucrări din Full-Zirconia (oxid de Zirconiu) pe Implanturi Dentare Lucrări din Full-Zirconia (oxid de Zirconiu) pe Implanturi Dentare Lucrări din Full-Zirconia (oxid de Zirconiu) pe Implanturi Dentare Lucrări din Full-Zirconia (oxid de Zirconiu) pe Implanturi Dentare Lucrări din Full-Zirconia (oxid de Zirconiu) pe Implanturi Dentare Lucrări din Full-Zirconia (oxid de Zirconiu) pe Implanturi Dentare Lucrări din Full-Zirconia (oxid de Zirconiu) pe Implanturi Dentare Lucrări din Full-Zirconia (oxid de Zirconiu) pe Implanturi Dentare


Albire Dentară cu lampă UV tip Zoom / Beyond / Advanced Whitening • Înainte și După Tratament

Albire dentară cu lampă UV tip Zoom / Beyond / Advanced Whitening - Înainte și după tratamentul stomatologic

Dinți închiși la culoare - S-a dorit modificarea culorii fără a folosi metode invazive (șlefuirea lor și acoperirea cu fațete sau coroane dentare protetice) cu ajutorul metodei de albire dentară cu lampă UV tip Zoom / Beyond / Advanced Whitening timp de 40 de minute (timp total de aplicare a gelului sub lampă în două reprize)

ÎNAINTE - Culoare nesatisfăcătoare a dinților ÎNAINTE - Culoare nesatisfăcătoare a dinților ÎNAINTE - Culoare nesatisfăcătoare a dinților ÎNAINTE - Culoare nesatisfăcătoare a dinților ÎN TIMPUL TRATAMENTULUI - Aplicarea și fotopolimerizarea protecției gingivale ÎN TIMPUL TRATAMENTULUI - Aplicarea și fotopolimerizarea protecției gingivale ÎN TIMPUL TRATAMENTULUI - Aplicarea și fotopolimerizarea protecției gingivale ÎN TIMPUL TRATAMENTULUI - Aplicarea gelului de albire ÎN TIMPUL TRATAMENTULUI - Aplicarea gelului de albire ÎN TIMPUL TRATAMENTULUI - Aplicarea gelului de albire ÎN TIMPUL TRATAMENTULUI - Activarea gelului de albire cu ajutorul lămpii UV tip Zoom / Beyond / Advanced Whitening ÎN TIMPUL TRATAMENTULUI - Activarea gelului de albire cu ajutorul lămpii UV tip Zoom / Beyond / Advanced Whitening ÎN TIMPUL TRATAMENTULUI - Activarea gelului de albire cu ajutorul lămpii UV tip Zoom / Beyond / Advanced Whitening ÎN TIMPUL TRATAMENTULUI - Îndepărtarea gelului și a protecției gingivale ÎN TIMPUL TRATAMENTULUI - Îndepărtarea gelului și a protecției gingivale DUPĂ - Dinți Albi DUPĂ - Dinți Albi DUPĂ - Dinți Albi DUPĂ - Zâmbet Strălucitor


Punte Dentară Metalo-Ceramică • Înainte și După Tratament

Punte Dentară Metalo-Ceramică - Înainte și după tratamentul stomatologic

Lucrări dentare vechi și mobile și multiple carii - Refacerea funcției masticatorii și estetice superioare printr-o lucrare fixă maxilară metalo-ceramică clasică (porțelan) - va urma refacerea arcadei inferioare

dinți mobili dinți fracturați resturi radiculare irecuperabile lucrari dentare vechi lucrari dentare vechi lucrari dentare vechi lucrari dentare vechi punte dentară fixă din porțelan punte dentară fixă din porțelan surâs plăcut surâs plăcut surâs plăcut punte dentară fixă din porțelan punte dentară fixă din porțelan punte dentară fixă din porțelan


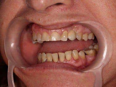
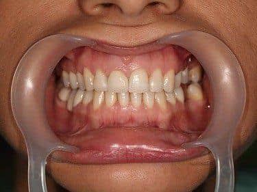
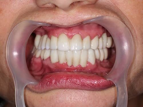
Coroane Dentare ceramice e-Max • Înainte și După Tratament

Coroane Dentare ceramice e-Max - Înainte și după tratamentul stomatologic

Incisivi laterali închiși la culoare, cu obturații coronare vechi inestetice - Refacerea zâmbetului și a esteticii cu ajutorul a două coroane integral ceramice (e-Max)

Incisivi laterali închiși la culoare Incisivi laterali închiși la culoare Incisivi laterali închiși la culoare Incisivi laterali pregătiți pentru a fi îmbrăcați cu coroane Incisivi laterali pregătiți pentru a fi îmbrăcați cu coroane Incisivi laterali pregătiți pentru a fi îmbrăcați cu coroane Coroane Dentare ceramice e-Max Coroane Dentare ceramice e-Max Coroane Dentare ceramice e-Max Coroane Dentare ceramice e-Max Coroane Dentare ceramice e-Max Coroane Dentare ceramice e-Max Coroane Dentare ceramice e-Max Coroane Dentare ceramice e-Max Surâs plăcut


Coroane Dentare din Zirconiu • Înainte și După Tratament

Coroane Dentare din Zirconiu - Înainte și după tratamentul stomatologic

Pacientă cu multiple carii și surâs inestetic - Estetică refăcută prin tratamente odontoterapeutice, endodontice și coronițe protetice din ceramică pe suport din oxid de Zirconiu

suras neplacut zambet stricat suras neplacut zambet inestetic zambet inestetic zambet inestetic zambet inestetic dinti tratati dinti tratati dinti tratati


Implanturi Dentare și Punte Dentară din Zirconiu • Înainte și După Tratament

Implanturi dentare și punte dentară din zirconiu - Înainte și după tratamentul stomatologic

Pacientă cu resturi radiculare frontale superioare mobile irecuperabile - Extracții cu inserție de implanturi dentare în aceeași sedință acoperite cu o lucrare din ceramică pe suport din oxid de Zirconiu

dinți mobili dinți fracturați resturi radiculare irecuperabile implanturi dentare inserate post-extracțional implanturi dentare inserate post-extracțional implanturi dentare inserate post-extracțional punte dentară fixă din Zirconiu punte dentară fixă din Zirconiu punte dentară fixă din Zirconiu surâs plăcut surâs plăcut


Implanturi Dentare și Punte Dentară din Ceramică • Înainte și După Tratament

Implanturi Dentare și Punte Dentară din Ceramică - Înainte și după tratamentul stomatologic

Edentație terminală extinsă și o lucrare protetică veche fracturată - Inserția a două implanturi dentare și apoi protezarea arcadei superioare prin două punți protetice fixe ceramice

edentatie terminala extinsa lucrare protetică fracturată ineficienta masticatorie Edentație terminală și intercalată lucrare protetica refacuta suras estetic lucrare dentara portelan dinți tratati dinți tratati


Punți și Coroane Dentare fixe metalo-ceramice • Înainte și După Tratament

Punți și Coroane Dentare fixe metalo-ceramice - Înainte și după tratamentul stomatologic

Multiple carii și lucrări dentare vechi și inestetice - Refacerea funcției estetice și masticatorii cu ajutorul a două lucrări fixe din metalo-ceramică clasică (porțelan)

zâmbet inestetic Zâmbet inestetic Zâmbet inestetic Zâmbet inestetic Dinți închiși la culoare Dinți închiși la culoare Dinți închiși la culoare Dinți închiși la culoare Dinți închiși la culoare Punți și Coroane Dentare fixe metalo-ceramice Punți și Coroane Dentare fixe metalo-ceramice Punți și Coroane Dentare fixe metalo-ceramice Punți și Coroane Dentare fixe metalo-ceramice Punți și Coroane Dentare fixe metalo-ceramice Punți și Coroane Dentare fixe metalo-ceramice Punți și Coroane Dentare fixe metalo-ceramice Punți și Coroane Dentare fixe metalo-ceramice Punți și Coroane Dentare fixe metalo-ceramice Punți și Coroane Dentare fixe metalo-ceramice Punți și Coroane Dentare fixe metalo-ceramice Punți și Coroane Dentare fixe metalo-ceramice Punți și Coroane Dentare fixe metalo-ceramice


Punte Dentară Metalo-Ceramică Clasică • Înainte și După Tratament

Punte Dentară Metalo-ceramică clasică - Înainte și după tratamentul stomatologic

Edentație sub-totală superioară - Refacerea funcționalității prin protezarea arcadei superioare cu punte metalo-ceramică clasică (porțelan)

edentatie totala zambet stricat lipsa dintilor zambet inestetic pacient tratat suras estetic lucrare dentara portelan dinti tratati


Fațete Dentare și Coroane Integral Ceramice e-max • Înainte și După Tratament

Fațete Dentare și coroane integral ceramice e.max  - Înainte și după tratamentul stomatologic

Dinți malpoziționați, incisivi laterali nanici și un zâmbet inestetic - Refacerea funcției estetice superioare prin șlefuirea dinților frontali și acoperirea acestora cu fațete dentare din porțelan (ceramică) pe incisivi și coroane integral ceramice tip E-Max pe canini

zâmbet inestetic dinți nanici și malpozitionați dinți preparați pentru fațetare și protezare dinți preparați pentru fațete și coroane integral ceramice e-max dinți preparați pentru fațete și coroane integral ceramice e-max Fațete dentare și coroane integral ceramice e-max Fațete dentare și coroane integral ceramice e-max - Zâmbet frumos Fațete dentare și coroane integral ceramice e-max - Zâmbet frumos Fațete dentare și coroane integral ceramice e-max Fațete dentare și coroane integral ceramice e-max Fațete dentare și coroane integral ceramice e-max Fațete dentare și coroane integral ceramice e-max Fațete dentare și coroane integral ceramice e-max Fațete dentare și coroane integral ceramice e-max Fațete dentare și coroane integral ceramice e-max Fațete dentare și coroane integral ceramice e-max Fațete dentare și coroane integral ceramice e-max Fațete dentare și coroane integral ceramice e-max


Proteze Dentare • Înainte și După Tratament

Proteze dentare - Înainte și după tratamentul stomatologic

Edentație totală superioară și termino-terminală inferioară - Refacerea esteticii, fonației și a funcției masticatorii prin confecționarea a două proteze dentare

Edentație totală superioară și termino-terminală inferioară Edentație totală superioară și termino-terminală inferioară Edentație totală superioară și termino-terminală inferioară Edentație totală superioară și termino-terminală inferioară Edentație totală superioară și termino-terminală inferioară Proteze Dentare Proteze Dentare Proteze Dentare Proteze Dentare Proteze Dentare Proteze Dentare


Implanturi Dentare • All-on-six • Înainte și După Tratament


Implanturi Dentare - All-on-six - Înainte și după tratamentul stomatologic

Edentație totală superioară - Implanturi dentare peste care s-a aplicat o lucrare din porțelan (metoda all-on-6)

Zâmbet inestetic Buză superioară înfundată - Aspect îmbătrânit ÎNAINTE - Edentație totală superioară Implanturi dentare pregătite pentru protezare DUPĂ - Zâmbet refăcut - Lucrare dentară superioară pe implanturi - All-on-six


Punți Dentare Metalo-ceramice Fixe cu protezare mixtă (dinți naturali și implanturi dentare) • Înainte și După Tratament


Punți Dentare Fixe Metalo-Ceramice - Înainte și după tratamentul stomatologic

Edentație termino-terminală superioară și latero-laterală inferioară - Refacerea esteticii, fonației și a funcției masticatorii cu ajutorul implanturilor dentare și lucrări protetice fixe cu protezare mixtă (și pe dinți și pe implanturi)

Edentație termino-terminală superioară și latero-laterală inferioară Edentație termino-terminală superioară și latero-laterală inferioară Edentație termino-terminală superioară și latero-laterală inferioară Edentație termino-terminală superioară și latero-laterală inferioară Edentație termino-terminală superioară și latero-laterală inferioară Edentație termino-terminală superioară și latero-laterală inferioară Punți Dentare Metalo-ceramice Fixe cu protezare mixtă Punți Dentare Metalo-ceramice Fixe cu protezare mixtă Punți Dentare Metalo-ceramice Fixe cu protezare mixtă Punți Dentare Metalo-ceramice Fixe cu protezare mixtă Punți Dentare Metalo-ceramice Fixe cu protezare mixtă Punți Dentare Metalo-ceramice Fixe cu protezare mixtă


Proteze Dentare Totale • Înainte și După Tratament


Proteze Dentare Totale - Înainte și după tratamentul stomatologic

Edentație totală superioară și inferioară - Refacerea esteticii, fonației și a funcției masticatorii prin confecționarea a două proteze dentare totale

Edentație totală superioară și inferioară Edentație totală superioară și inferioară Edentație totală superioară și inferioară Edentație totală superioară și inferioară Edentație totală superioară și inferioară Edentație totală superioară și inferioară Proteze Dentare Totale Proteze Dentare Totale Proteze Dentare Totale Proteze Dentare Totale


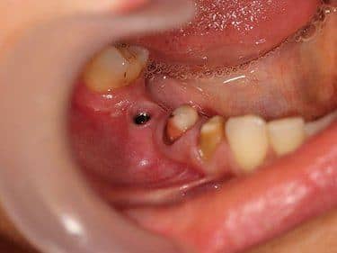
Implant Dentar • Înainte și După Tratament

Implant Dentar - Înainte și după tratamentul stomatologic

Edentație canin superior - Implant dentar peste care s-a aplicat o Coroană dentară din ceramică pe Zirconiu

Zâmbet inestetic Zâmbet inestetic Implant pregătit pentru protezare Implant pregătit pentru protezare Implant pregătit pentru protezare Zâmbet refăcut - Coroană dentară din Zirconiu Zâmbet refăcut - Coroană dentară din Zirconiu Zâmbet refăcut - Coroană dentară din Zirconiu Coroană dentară din Zirconiu pe Implant Dentar Coroană dentară din Zirconiu pe Implant Dentar Coroană dentară din Zirconiu pe Implant Dentar Zâmbet refăcut - Coroană dentară din Zirconiu


Coroane Dentare din Zirconiu • Înainte și După Tratament

Coroane Dentare din Zirconiu - Înainte și după tratamentul stomatologic

Aspect inestetic al zâmbetului - Dinții laterali au fost preparați și acoperiți cu Coronițe dentare din ceramică pe suport de Zirconiu

zambet inestetic Dinți preparați pentru coroane Dinți preparați pentru coroane Dinți preparați pentru coroane Dinți preparați pentru coroane Dinți preparați pentru coroane Zâmbet refăcut Zâmbet refăcut Zâmbet refăcut coronite din zirconiu coronite din zirconiu coronite din zirconiu coronite din zirconiu coronite din zirconiu coronite din zirconiu


Coroană din Ceramică pe Zirconiu • Înainte și După Tratament

Coroană din ceramică pe Zirconiu - Înainte și după tratamentul stomatologic

Incisiv central îngălbenit și obturații coronare vechi (plombe) de o formă și culoare inestetice - Șlefuirea și acoperirea incisivului central cu o coroană ceramică pe Zirconiu și înlocuirea obturațiilor coronare

incisiv ingalbenit plombe vechi inestetice plombe vechi inestetice zambet inestetic zambet inestetic dinte preparat lucrare dentara zirconiu incisiv acoperit cu o coroana dinti frumosi dinti tratati pacient multumit pacient multumit


Implant Dentar și Coroane Dentare din Zirconiu • Înainte și După Tratament

Implant Dentar și Coroane Dentare din Zirconiu - Înainte și după tratamentul stomatologic

Edentație unidentară laterală inferioară și dinți vecini închiși la culoare - Inserția unui implant dentar și șlefuirea dinților vecini, apoi acoperirea acestora cu trei coroane dentare din Zirconiu separate

Implant dentar și dinți pregătiți pentru a fi îmbrăcați cu coroane Implant dentar și dinți pregătiți pentru a fi îmbrăcați cu coroane Implant dentar și dinți pregătiți pentru a fi îmbrăcați cu coroane Implant dentar și dinți pregătiți pentru a fi îmbrăcați cu coroane Coroane Dentare din Zirconiu Coroane Dentare din Zirconiu Coroane Dentare din Zirconiu Coroane Dentare din Zirconiu Coroane Dentare din Zirconiu Coroane Dentare din Zirconiu Coroane Dentare din Zirconiu Coroane Dentare din Zirconiu Coroane Dentare din Zirconiu


Lucrare Dentară Metalo-Ceramică • Înainte și După Tratament

Înainte și după tratamentul stomatologic

Malpoziție dentară și o lucrare protetică veche cu aspect inestetic - Refacerea lucrării dentare cu includerea celor doi incisivi malpoziționați

zambet inestetic zambet stricat dinti malpozitionati suras neplacut dinti rotati suras estetic lucrare dentara portelan dinți tratati


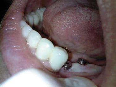
Implanturi Dentare • Înainte și După Tratament

Înainte și după tratamentul stomatologic

Edentație parțială inferioară - Refacerea funcționalității prin inserția a două implanturi dentare și protezarea cu lucrare protetică fixă metalo-ceramică

dinți lipsă implanturi dentare punte metalo-ceramica lucrare protetica fixa lucrare dentara portelan


Coroane Dentare din Zirconiu • Înainte și După Tratament

Coroane Dentare din Zirconiu - Înainte și după tratamentul stomatologic

Microdonție localizată (focală) - Refacerea formei incisivilor laterali superiori nanici prin acoperirea lor cu coronițe din Zirconiu

Incisivi laterali nanici Incisivi laterali foarte mici Incisivi laterali disproporționați Dinți frontali nanici Microdonție localizată (focală) suras estetic coroane dentare zirconiu Zâmbet frumos dinti proportionali Formă corectată a incisivilor laterali Caz clinic - dintii laterali nanici Formă corectată a incisivilor laterali Incisivi laterali proporționați Incisivi laterali proporționați Incisivi laterali proporționați


Implant Dentar • Înainte și După Tratament

Înainte și după tratamentul stomatologic

Edentație unidentară laterală - Inserția unui implant dentar și protezarea acestuia cu o coroană metalo-ceramică (porțelan)

implant dentar coroană metalo-ceramică coroană metalo-ceramică


Implant Dentar • Înainte și După Tratament

Implant dentar - Înainte și după tratamentul stomatologic

Edentație unidentară (lipsă canin) - Implant dentar inserat în dreptul caninului și protezarea acestuia cu o coroană metalo-ceramică (porțelan)

Edentație canin superior Edentație canin superior Edentație canin superior Edentație canin superior Zâmbet inestetic Zâmbet inestetic Zâmbet inestetic Implant dentar cu coroană metalo-ceramică Implant dentar cu coroană metalo-ceramică Implant dentar cu coroană metalo-ceramică Zâmbet plăcut Zâmbet plăcut


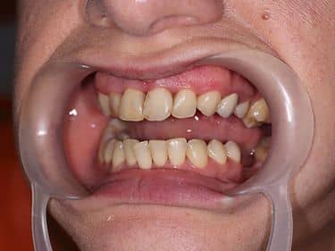
Fațete Dentare • Înainte și După Tratament

Fațetarea dinților în scopul schimbării formei și a culorii acestora

model fațete dentare model fațete dentare model fațete dentare model fațete dentare model fațete dentare fațete dentare din porțelan fațete dentare din porțelan


Proteze Dentare • Înainte și După Tratament

Proteze dentare - Înainte și după tratamentul stomatologic

Edentație intercalată superioară și inferioară - Refacerea esteticii, fonației și a funcției masticatorii prin confecționarea a două proteze dentare parțiale

Edentație intercalată superioară și inferioară Edentație intercalată superioară și inferioară Edentație intercalată superioară și inferioară Edentație intercalată superioară și inferioară Proteze Dentare Proteze Dentare Proteze Dentare


Obturații coronare estetice (plombe) și tratamente de canal (endodontice) • Înainte și După Tratament


Obturații coronare estetice (plombe) și tratamente de canal (endodontice) - Înainte și după tratamentul stomatologic

Obturații coronare vechi cu carii secundare și infecții dentare repetate - Refacerea tratamentelor de canal, îndepărtarea țesutului dentar cariat și refacerea obturațiilor coronare

Multiple carii dentare Multiple carii dentare Multiple carii dentare Multiple carii dentare Multiple carii dentare Multiple carii dentare Multiple carii dentare Tratamente dentare și obturații coronare refăcute Tratamente dentare și obturații coronare refăcute Tratamente dentare și obturații coronare refăcute Tratamente dentare și obturații coronare refăcute Tratamente dentare și obturații coronare refăcute Tratamente dentare și obturații coronare refăcute Tratamente dentare și obturații coronare refăcute Tratamente dentare și obturații coronare refăcute


Fațete Dentare ceramice e-Max • Înainte și După Tratament


Fațete Dentare ceramice e-Max - Înainte și După Tratament

Dinți frontali închiși la culoare, ușor malpoziționați, cu obturații coronare vechi inestetice - Refacerea zâmbetului și a esteticii prin aplicarea de fațete dentare peste toți cei șase dinți frontali superiori

Dinți frontali închiși la culoare Dinți frontali închiși la culoare Dinți frontali închiși la culoare Fațete Dentare ceramice e-Max Fațete Dentare ceramice e-Max Fațete Dentare ceramice e-Max Fațete Dentare ceramice e-Max Fațete Dentare ceramice e-Max Fațete Dentare ceramice e-Max Fațete Dentare ceramice e-Max Fațete Dentare ceramice e-Max Fațete Dentare ceramice e-Max Fațete Dentare ceramice e-Max Fațete Dentare ceramice e-Max


Coroane Dentare ceramice e-Max • Înainte și După Tratament

Incisivi laterali închiși la culoare - Refacerea esteticii cu ajutorul a două coroane integral ceramice (e-Max)

Incisivi laterali pregătiți pentru a fi îmbrăcați cu coroane Incisivi laterali pregătiți pentru a fi îmbrăcați cu coroane Incisivi laterali pregătiți pentru a fi îmbrăcați cu coroane Coroane Dentare ceramice e-Max Coroane Dentare ceramice e-Max Coroane Dentare ceramice e-Max Coroane Dentare ceramice e-Max Coroane Dentare ceramice e-Max


Implanturi Dentare • Înainte și După Tratament

Pacientă cu edentații laterale - Implanturi Dentare acoperite cu coronițe ceramice

caz clinic stomatologie implant dentar caz clinic stomatologie implant dentar caz clinic stomatologie implant dentar caz clinic stomatologie implant dentar caz clinic stomatologie implant dentar caz clinic stomatologie implant dentar


Implanturi Dentare • Înainte și După Tratament

Pacientă cu edentație laterală - Implanturi dentare acoperite cu coronițe ceramice

pacient dentist implant dentar pacient dentist implant dentar pacient dentist implant dentar


Proteze Dentare Flexiplast • Înainte și După Tratament

Pacientă cu edentație latero-laterală - Proteze Dentare Flexibile - Flexiplast

proteza dentara flexiplast proteza dentara flexibila proteza dentara flexibila

Proceduri Stomatologie >>

© 2007-2026 Clinica Stomatologică SORIdent